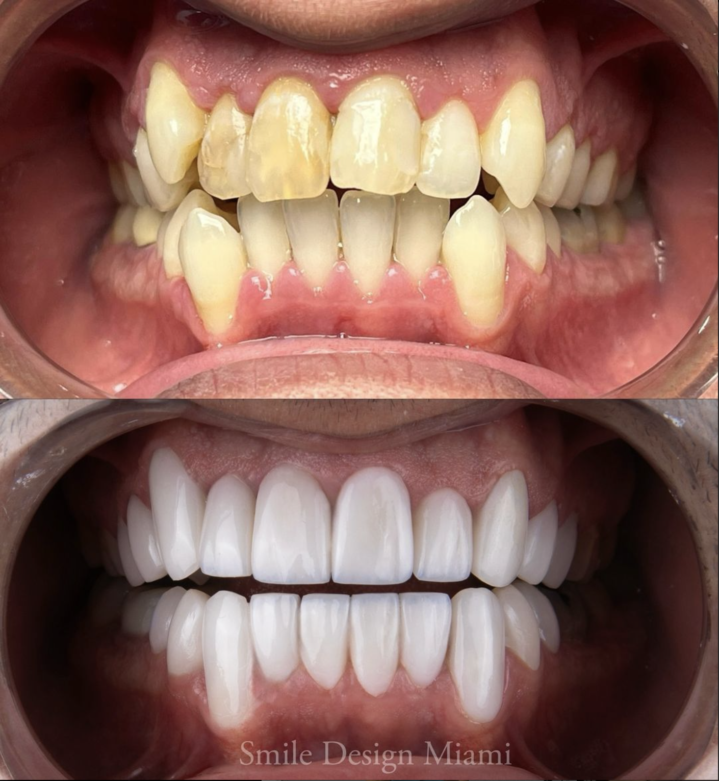
Dental Veneers

Transform your smile with our custom porcelain veneers, designed to create a natural-looking, beautiful smile.

What Are Dental Veneers?

Dental veneers are thin, custom-made shells crafted from porcelain or composite resin that are bonded to the front surface of teeth to improve their appearance. They’re designed to look like natural teeth while providing a more attractive, even smile.

At Smile Design Miami, we specialize in high-quality porcelain veneers that are durable, stain-resistant, and custom-designed to match your natural teeth perfectly. Our veneers can correct various cosmetic issues:

The Veneer Process at Smile Design Miami

1

Consultation & Planning

Our dentists will examine your teeth, discuss your goals, and determine if veneers are the right option for you. We’ll take digital images and impressions to create a customized treatment plan.

2

Preparation & Temporary Veneers

We’ll prepare your teeth by removing a small amount of enamel from the surface. Then we’ll take impressions and place temporary veneers while your custom ones are being crafted.

3

Placement & Follow-up

Once your custom veneers are ready, we’ll remove the temporaries, check the fit and color of the permanent veneers, and bond them to your teeth. A follow-up visit ensures everything is perfect.

Modern Orthodontic Solutions

Clear Aligners

Transparent, removable aligners that gradually shift your teeth into position. Ideal for adults and teens who want a discreet orthodontic option.

Best for: Adults and teens with mild to moderate alignment issues who want discreet treatment..

Average treatment time: 6-18 months, depending on complexity.

Modern Braces

Today’s braces are smaller, more comfortable, and more effective than ever before. We offer various options including metal, ceramic, and self-ligating braces.

Best for: Patients of all ages with moderate to severe alignment or bite issues.

Average treatment time: 18-24 months, depending on complexity.

Benefits of Porcelain Veneers

Natural Appearance

Our porcelain veneers reflect light similarly to natural teeth, providing a realistic and beautiful smile.

Stain Resistant

Porcelain veneers resist stains from coffee, tea, red wine, and tobacco, keeping your smile bright.

Long-Lasting

With proper care, porcelain veneers can last 10-15 years, making them a durable smile solution.

Minimal Preparation

Veneers require minimal removal of tooth structure compared to crowns, preserving more of your natural teeth.

Frequently Asked Questions

How long do veneers last?

With proper care and maintenance, porcelain veneers can last between 10-15 years or even longer. Regular dental checkups and good oral hygiene help extend their lifespan.

Are veneers reversible?

Traditional veneers are not reversible because a small amount of enamel is removed during preparation. However, we also offer minimal-prep and no-prep veneer options in some cases where suitable.

Do veneers require special care?

Veneers don’t require special care beyond good oral hygiene practices. Brush twice daily, floss regularly, and visit your dentist for check-ups. Avoid using your teeth as tools or biting very hard objects.

How much do veneers cost in Miami?

The cost of veneers varies depending on several factors including the number of veneers needed, material chosen, and complexity of your case. During your consultation, we’ll provide a detailed cost breakdown and discuss financing options available.

Ready to Transform Your Smile?

Schedule a consultation with our veneer specialists to discover how we can create your perfect smile.

Veneer Transformations

Patient received ALL ON 4 treatment for their upper arch, replacing failing teeth with a natural-looking, permanent solution.

Complete smile transformation with ALL ON 6 for both upper and lower arches, providing optimal function and aesthetics.

Patient with severe lower jaw bone loss received specialized ALL ON X treatment, eliminating the need for bone grafting.

Book Free Consultation